imMediatE LOADING
DSS
TRAINING COURSE
& CUSTOM EVENTS
INTRA-ORAL
IMPRESSION
PRINT & CAM
IN HOUSE
Do you have any screen in your clinic?
CLICK IF YES
We have created a short video on the digital pre-visualization of the smile designed for your patients in the waiting room! It is simple, intuitive and easy to understand, designed for those who do not have technical and professional skills like yours! Intrigues, try to make it turn!
GET IT FREE
APPLY THE FORM BELOW!

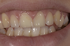
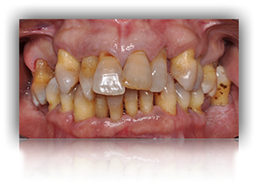
Toronto Bridge Monomassa and composite
This case was realised with Dott. Francesco Zingari
Zirconium and pressing ceramic from a CAD project
This case was realised with Dott. Giuseppe Minutilli
Full denture from intra-oral scan and DSS
In collaboration with Dott. Francesco Zingari. Location: Clinic Dott.ssa Bianchi
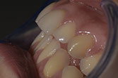
Palate stpping with skeletal structure
In collaboration with Dott. Gianluca Porcaro Location University of Milano Bicocca.
With 20 years of experience we are able to create dental solutions to give tangible added value and an increasingly personalized service. Each project is an opportunity for us to demonstrate a solid set of skills and put to use a vast wealth of resources.
This is working for us in a Four.Zero way!
Training & Events
We organize courses dedicated to our colleagues and clinicians throughout the year. Our know-how and our hunger for knowledge has led us to train every member of the team to give you 360° training.
" A day without a smile is a wasted day "
Charlie Chaplin
Get for free our pricelist!